Une consultation pluridisciplinaire dédiée à la neurofibromatose de type 1 est organisée par le service de Pédiatrie et de Génétique du CHU de Liège et de l’hôpital de la Citadelle depuis septembre 2013 et coordonnée par le Dr Vaessen, neuropédiatre.
Actuellement, environ 120 patients pédiatriques sont suivis dans le cadre de cette consultation pluridisciplinaire au CHU et à l’hôpital de la Citadelle.
La consultation vise à optimaliser le suivi des enfants atteints de cette condition génétique, souvent méconnue, afin de prévenir et de traiter les complications éventuelles.
Définition de la NF1
La neurofibromatose de type 1 est une condition génétique autosomique dominante, la mutation est localisée en 17Q11.2
Il s’agit d’une mutation de novo dans la moitié des cas, et héritée d’un des 2 parents dans l’autre moitié des cas.
Le gène muté est un gène suppresseur de tumeur, codant pour la neurofibromine qui intervient dans la différenciation et prolifération cellulaire via la voie RAS.
Il existe une variabilité des symptômes inter et intra familiale.
Les formes graves de la neurofibromatose de type 1 concernent environ 15 % des patients.
Les premiers signes d’appel se manifestent dans la petite enfance par des taches «café au lait» sur la peau, arrondies ou ovales, de taille variable et sans relief en nombre significatif.
Ces taches caractéristiques apparaissent souvent avant l’âge de 2 ans.
A chaque période de la vie du patient, diverses complications peuvent se manifester qu’il conviendra de dépister et traiter.
Une des complications pour lesquels il faut particulièrement être attentif chez le jeune enfant est l’apparition d’un gliome des voies optiques.
La plupart des patients toutefois vont bien et suivent une scolarité traditionnelle.
Peu d’entre eux présentent des complications sévères.
Les critères diagnostiques sont établis selon le NIH (National Institutes of Health) et reposent sur certaines manifestations cliniques et sur les antécédents familiaux.
La génétique toutefois, nous aide de plus en plus à identifier et confirmer le diagnostic précocement. Elle nous permet également dans certains cas complexes d’éliminer certains diagnostiques différentielles.
Les principales manifestations cliniques sont les suivantes :
DERMATOLOGIQUES:
-
Taches « café au lait » en nombre > ou = à 5
-
Lentigines au niveau des plis axillaires et inguinaux (lésions d’un diamètre inférieur à 3mm, qui ressemblent à des taches de rousseurs)
- Neurofibromes cutanés ou sous-cutanés
- Xanthogranulome
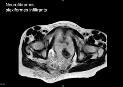
- Signe d’appel cutané évoquant un neurofibrome plexiforme infiltrant

.png.aspx?width=400&height=283)
OPHTALMIQUES :
OSSEUSES :
NEUROLOGIQUES:
ENDOCRINIENNES :
- Résistance à l’hormone de croissance
- Puberté précoce
- Phéochromocytome (rare)
CARDIO-VASCULAIRES :
- Dysplasie des artères (exemple : artères rénales HTA)
Modalités de la consultation pluridisciplinaire :
Une consultation pluridisciplinaire annuelle est organisée sur une matinée et permet de regrouper les différents spécialistes en neuropédiatrie, ophtalmologie, dermatologie, génétique et pour certains cas particuliers en ORL, en endocrinologie, en orthopédie, en hémato-oncologie….. Cela permet de prévenir et d’identifier d’éventuelles complications, ce qui favorise la mise en place d’ un traitement adéquat dès que possible.
Des examens d’imagerie cérébrale seront souvent programmés afin de mieux dépister les complications neurologiques et les gliomes des voies optiques.
Les autres examens complémentaires seront guidés principalement par la clinique.
Prise en charge thérapeutique :
Il n’existe actuellement pas de traitement spécifique pour guérir la neurofibromatose de type 1. La prise en charge est essentiellement symptomatique et dépend dès lors des différentes complications.
Le traitement des complications implique souvent plusieurs spécialistes compte tenu du fait qu’il s’agit d’une maladie systémique.
A l’âge adulte, la surveillance médicale annuelle doit être poursuivie compte tenu du risque de tumeur. De plus en plus de collaborations avec la médecine adultes voient le jour.
De nouveaux traitements ciblés prometteurs sont actuellement utilisés chez l’enfant, tel que les inhibiteurs MEK. Certains de nos patients pour des indications bien sélectionnées en bénéficient.